Возникновение шишки на волосяной части головы сразу не замечается, только достигая довольно приличных размеров, она обнаруживает себя. Опухоли отличаются в зависимости от вида. На ощупь они могут быть мягкими, твердыми. Месторасположение может быть разным: на затылке, на лбу, на височной части.
Виды
Есть несколько видов шишек:
- Липома, другое ее название — жировик. Шишка растет достаточно медленно, нет болевых ощущений при пальпации, внутри находится масса в виде жира.
- Папиллома – доброкачественное образование. Может быть на ножке и плоской. При пальпации, как правило, болевые ощущения отсутствуют. Поверхность неплотная, может быть длинной или продолговатой формы. У пожилых людей бородавки чаще плоские, коричневого, серого или даже черного цвета.
- Гемангиома – образование доброкачественное, встречается у детей сразу с появления на свет. Поверхность ее красная, неплотная, рыхлая, безболезненная.
- Остеома – доброкачественное новообразование, которое получает свое развитие из костной ткани черепной коробки, соответственно и на ощупь оно твердое, не болит.
- Атерома – киста, расти начинает на месте сальной железы, затрудняя при этом выход ее секрета. Внутри новообразования находится сальное содержимое, при пальпации возникают болевые ощущения, имеет свойство периодически воспаляться.
- Трихоэпителиома – доброкачественная некрупная опухоль. Свое развитие получает на месте волосяного фолликула. На ощупь мягкая, безболезненная. Причина образования – наследственная предрасположенность. Нередко встречаются множественные образования.
- Фиброма – доброкачественный вид опухоли, развивается из соединительной ткани, по внешнему виду похожа на бородавку. Не болит при ощупывании.
- Саркофиброма – раковое новообразование, которое растет достаточно быстро из соединительной ткани, границы нечеткие. При ощупывании напоминает узел в кожном покрытии.
- Фурункул – гнойное образование.
Причины
Причины подразделяют на внутренние и внешние.
Травма, ушиб
Этот фактор считается наиболее частым в медицинской практике. После удара возникает отек в виде шишки. При пальпации чаще болезненный. Простая шишка не требует лечения и проходит самостоятельно, для быстрого ее исчезновения необходимо сразу после удара наложить холодный компресс.
Однако, если после удара человек теряет сознание либо у него появилась тошнота, головокружение – это может говорить о получении закрытой черепно-мозговой травмы. В таком случае повреждаются непосредственно ткани мозга, а шишка — всего лишь внешний признак опасного показателя.
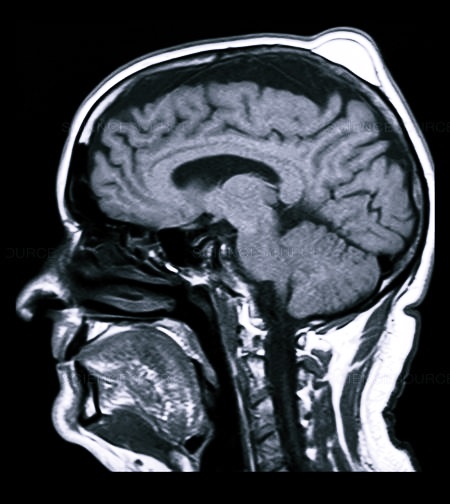
При проявлении вышеуказанных симптомов необходимо сразу обратиться к врачу, чтобы удостовериться в отсутствии тяжелого повреждения головного мозга или кровоизлияния. Для того чтобы определить, насколько серьезна травма, необходимо пройти МРТ или КТ.
Укус насекомого
Проявляется как аллергическая реакция. Размер образовавшейся шишки может варьироваться от 5 мм до нескольких сантиметров, это зависит от показателя выраженности аллергии. В этом случае помогут противоаллергенные препараты, желателен осмотр врача-аллерголога.
Атерома
Болезненная на ощупь шишка развивается из-за закупорки сальной железы, затрудняя при этом выход ее содержимого. Растет быстро, нередко встречаются размеры крупнее куриного яйца. Чаще всего наблюдается в задней части головы.
При наличии повреждения целостности кожи большой риск попадания бактерий внутрь, что вызывает развитие гнойного воспаления. При этом происходит увеличение температуры тела, а в районе шишки появляется дергающая боль. Лечится исключительно хирургическим методом.
Гемангиома
Образование происходит в результате аномалии строения кровеносных сосудов, находящихся под кожным покровом. Образует выпуклость, по внешнему виду походящую на пуговицу.
При быстром своем росте захватывает здоровые клетки, чем и является весьма опасной. Располагаются чаще за ушными раковинами и в области глаз. При их появлении нужно безотлагательно посетить врача.
Фиброма (саркофиброма)
Твердая на ощупь опухоль доброкачественного характера. Однако, для того чтобы удостовериться, что эта опухоль является действительно фибромой, а не злокачественным образованием, необходимо сдать анализы и обратиться за консультацией к онкологу.
Причины возникновения до сих пор полностью не изучены. Одни считают, что она может появиться у кого угодно, другие – это наследственная патология, третьи – из-за различных повреждений кожи.
Фурункул
Опухоль с красноватым оттенком и бело-зеленоватой гнойной головкой. Возникает гнойное образование при редком мытье головы, переохлаждении, использовании некачественных косметических средств, а также при занесении бактерий через небольшие повреждения кожи (часто при неаккуратном расчесывании).
Липома
Образуется в результате повторяющихся травм, не вызывает никаких неудобств и представляет собой скопление жировых клеток в одном месте. Липома абсолютно безопасна, однако возникает необходимость обратиться к врачу при большом ее размере, а также при ее отечности и сдавливании сосудов. Образуется благодаря патологиям в жировых тканях, плохой наследственности и нарушению обмена веществ.
Бородавка
При крупных размерах напоминает шишку, нередко встречается на волосистом покрове головы. Обычно хороший врач после осмотра может точно указать причину ее возникновения, чаще всего – это резкое снижение иммунитета.
Для терапии можно использовать медицинские препараты; выжигание лазером, жидким азотом; оперативное удаление.
Симптомы
Симптомы определяются в зависимости от вида образования.
Травма
Болевые ощущения появляются при нажимании, возникает покраснение, отечность. При более серьезных повреждениях, которые говорят о закрытой черепно-мозговой травме, возникают следующие признаки:
- Потеря сознания – наступает непосредственно после полученной травмы. В это время пациент не откликается на внешние раздражители, не чувствует боли.
- Боль в разных участках головы – начинается сразу после восстановления сознания.
- Тошнота и рвота – не дает ощущение облегчения состояния.
- Головокружение.
- Гематома – чаще возникает при переломах костного каркаса черепа. Зачастую можно наблюдать за ухом и возле глаз.
- Лицо и шея становятся красными.
- Амнезия – человек не помнит, события, произошедшие до травмы (изредка встречаются случаи, когда человек забывает события, которые случились после травмы).
- Развитие судорожного синдрома.
- Повышенное потоотделение.
По теме
Если повреждены сосуды мозга, то не исключено кровоизлияние в оболочках. Такая ситуация проявляется следующими признаками:
- Резко возникшая боль.
- Светобоязнь – боль в глазах при ярком свете.
- Рвота и тошнота, не облегчающая самочувствия.
- Потеря сознания.
- Мышцы затылка напряжены, невозможно привести подбородок к груди.
Липома
При развитии липомы симптомы определяются только по внешнему виду, поскольку других неудобств она человеку не создает. При пальпации образование мягкое, подвижное, боли отсутствуют.
Укусы насекомых
При укусах насекомых иногда симптомы отсутствуют, а при их наличии сразу после укуса человек может испытывать зуд, отечность, боль, происходит увеличение температуры. Все эти симптомы могут держаться до нескольких дней, боль постепенно уменьшается.
Непосредственно шишка – это аллергия на яд насекомого. При пальпации это образование твердое, в центре отмечено красной точкой, как после укола иглой (место укуса насекомого).
Атерома
Атерома – пока небольшого размера — может протекать бессимптомно, выдавая свое присутствие только внешним видом. При занесении инфекции (очень большая вероятность при повреждениях кожи) доставляет немало проблем. Это выражается в возникновении болей, повышении температуры и отечностью.
Фурункул
Из-за самостоятельного выхода гноя человек испытывает довольно сильные болевые ощущения, особенно при пальпации. Нередко наблюдается повышение температуры тела.
Гемангиома
Гемангиома в первую очередь выдает себя внешним видом – похожа на пуговицу. При твердой консистенции не доставляет проблем. При мягкой структуре отличается довольно быстрым ростом с захватом здоровых тканей. Есть риск ее перехода в раковую опухоль.
Фиброма
Фиброма – на ощупь твердое образование, которое протекает безболезненно. Опасность появляется при возникновении на волосистой части головы, так как может подвергнуться травмированию при расчесывании и занесению инфекции.
Бородавка
Может быть на ножке и плоской. Поверхность рыхлая, неоднородная. Бородавка на ножке чаще имеет бугорчатую, шероховатую поверхность, цвет может отличаться от кожи (темнее или светлее).
Диагностика
Каждая опухоль диагностируется по-разному.
При черепно-мозговой травме используют рентген, МРТ и КТ, нередко проводится ангиография (исследование сосудов мозга с введением контрастных препаратов).
При укусе насекомых диагноз проводится по клиническим проявлениям. Лечит врач-аллерголог.
По теме
Подтверждение атеромы начинается с осмотра и пальпации самой атеромы, рядом лежащих лимфатических узлов. Далее назначается допплерография, УЗИ кисты, КТ, рентген головы. Наиболее точный метод — гистологическое исследование.
Гемангиома диагностируется следующими способами:
- общий анализ крови
- УЗИ головного мозга.
- Эндоскопические исследования.
- Магнитно-резонансная томография.
- Мультиспиральная компьютерная томография.
Фиброма осматривается врачом. Дополнительно назначаются гистологические и цитологические анализы.
Диагностика гемангиомы проводится дерматологом. Для этого назначается УЗИ, биопсия и цитологическое исследование.
Подтверждение наличия бородавок заключается в проведении соскоба и изучении ее с помощью микроскопа. При возникновении подозрений на злокачественную опухоль назначается биопсия.
Лечение
Терапия образовавшихся шишек зависит от вида и причин.
Первая помощь при травме – применение холодного компресса к месту удара (очень часто для этого используют замороженные продукты). Держать около 10 минут. Также используют препараты в виде мазей и гелей:
- Троксевазин – укрепляет сосудистые стенки, снимает отек. Аккуратно втирать два раза в день.
- Троксерутин – хорошо устраняет отек, запрещено наносить при травмах с нарушением целостности кожи.
- Гепариновая мазь – снимает боль и рассасывает тромбы.
- Спасатель – антисептическое действие.
При укусе насекомых обработать мылом и приложить холод, при сохранении симптомов использовать противоаллергенные средства. При необходимости обратиться к аллергологу либо дерматологу.
При липоме самостоятельное лечение не проводится, необходима помощь хирурга. Чаще всего удаляется хирургическим путем, лазером либо с использованием специального вещества, которое рассасывает жир (вводится в сам жировик).
При атероме использование различных мазей и народных средств оказывается неэффективным, их лучше использовать для быстрейшего заживления после удаления либо самостоятельного вскрытия опухоли. Удаление атеромы проводится хирургическим путем, лазерным и радиоволновым методом.
По теме
Терапия фибромы в первую очередь направлена на устранение причины. Далее проводится удаление опухоли при помощи лазера, оперативного вмешательства, криодеструкции (использование низких температур) либо радиоволновым методом.
Есть несколько способов удаления гемангиомы:
- Применение жидкого азота (не остается следов).
- СВЧ-криодеструкция – при глубокой лицевой локализации опухоли.
- Лучевая терапия – при повреждении около глаза.
Терапия исключительно под присмотром врача, поскольку высок риск преобразование в злокачественную опухоль.
Фурункул удаляется хирургом в амбулаторных условиях, после чего назначается антибактериальная и физиотерапия.
Наиболее эффективным способом удаления бородавки будет удаление:
- Токовая терапия – не самый эффективный метод, зачастую надо делать несколько сеансов.
- Замораживание азотом – стоит дорого и после такой хирургии остаются видимые шрамы и рубцы. Также необходим длительный послеоперационный уход.
- Выжигание лазером – наиболее широко распространенная процедура, проводится быстро. Следов не остается и подобные новообразование больше не появляются.
- Хирургическое вмешательство.
Последствия и осложнения
Будут ли последствия, зависит от степени, вида поражения и своевременности лечения.
Легкие ушибы, как правило, проходят без осложнений. Тяжелые могут в будущем сказаться нарушением зрения, двигательной функции, психической деятельности и регулярными головными болями.
Укусы насекомыми осложняются аллергическими реакциями и при укусе клеща — возможно заражение энцефалитом и боррелиозом.
По теме
Фурункулы могут спровоцировать менингит, энцефалит, тромбоз сосудов мозга. Липома может привести к нарушению психики и сна.
Атерома провоцирует развитие инфекции, которая в свою очередь вызывает рецидивы, флегмону — разрушение гнойной капсулы и расхождение гноя по подкожному слою и в более глубокие слои. Наиболее опасно преобразование в злокачественную опухоль.
Фиброма также опасна риском ракового заболевания. Гемангиома приводит к язвам, болезням кровеносных сосудов, наружным и внутренним кровоизлияниям.
В большинстве случаев шишки не представляют большой опасности, особенно безболезненные. Однако всегда лучше обратиться к врачу, чтобы выяснить причину и характер опухоли, устранив тем самым возможные осложнения.
Комментарий эксперта
Особенную опасность представляют фурункулы, располагающиеся в зоне носогубного треугольника. Эта область имеет прямую связь с сосудами головного мозга, поэтому попытка самостоятельного вскрытия гнойника может привести к тромбозу кавернозного синуса и гнойному менингиту. В случае появления фурункула в этой части лица необходимо обязательно обратиться к хирургу.
Источник
Шишки на голове в волосах — выраженные или малозаметные уплотнения на затылке, темечке, в области макушки. Они бывают болезненными при касании, но чаще их образование не сопровождается дискомфортными ощущениями. В любом случае причина формирования уплотнения должна быть выяснена. Именно она становится определяющим фактором при выборе терапевтической тактики. В лечении используются различные методы — консервативные и хирургические.
Причины и провоцирующие факторы
Шишки на затылке всегда образуются по патологическим причинам. Большие, маленькие, твердые или мягкие припухлости указывают на то, что на каком-то этапе в организме произошел сбой. Возможно, просто закупорилась сальная железа, и вылез банальный прыщ. Но при неблагоприятном развитии событий не исключено формирование доброкачественной или злокачественной опухоли.
Нередко человек обнаруживает шишку, когда она вырастает до размеров 1-2 см. Это сигнал о прогрессировании заболевания, особенно при ухудшении общего состояния здоровья. Уплотнения в волосистой части головы опасны, требуют тщательного обследования взрослых и детей.
Ушиб
Если на голове появилась шишка под кожей после ушиба, то взаимосвязь установить несложно. Так называется закрытое травматическое повреждение, которое возникает в быту достаточно редко. Обычно человек ударяется при падении дома или на улице. Уплотнения формируются вследствие спортивных и производственных травм. Особенно опасны новообразования после ударов тупым предметом, дорожно-транспортных происшествий и падений с высоты. Ведь в таких случаях они часто сопровождаются травмами черепа и (или) сотрясением мозга.
В отличие от других частей тела кожа головы почти не имеет жировой клетчатки, плотно прилегая непосредственно к кости. Поэтому после удара кровь не распределяется равномерно, а накапливается, образуя уплотнение. Симптомы, характерные для такого вида травмы:
- сильная болезненность при нажатии;
- появление обширной гематомы или точечных кровоизлияний;
- отечность, припухлость, покраснение кожи.
По мере выздоровления цвет дермы около уплотнения меняется от темно-фиолетового до желто-зеленого. Размеры его уменьшаются, а затем оно рассасывается и бесследно исчезает. Если человек набил шишку, то отличной защитой от гематомы и отека становится пакет со льдом.
К врачу необходимо обращаться незамедлительно, если после удара помимо шишки беспокоят приступы тошноты и рвоты, головокружения и головные боли. Это специфические признаки сотрясения мозга, которые не проходят сами собой без последствий.
Аллергия на укусы насекомых
Аллергия — еще одна частая причина, почему на затылке появилась шишка. Только развивается она не при употреблении продуктов питания или определенных медикаментов, проникновения в организм цветочной пыльцы или шерсти животных. Уплотнение в волосистой части головы — результат атаки насекомых. Это могут быть комары, оводы, слепни, мошки, человеческие блохи, обитающие в подвалах. Что указывает на развитие аллергии:
- уплотнение не болит даже при сильном надавливании. Во время укуса многие насекомые впрыскивают в кровь биоактивные вещества, которые обладают анестезирующими свойствами;
- возникает зуд, что заставляет человека постоянно чесаться. При этом он непроизвольно микротравмирует кожу, провоцируя развитие бактериальной инфекции.
У людей, не предрасположенных к аллергии, после укусов формируется лишь небольшая припухлость. Она не требует лечения, исчезает в течение дня. А у аллергиков нередко образуются крупные зудящие бугры, которые рассасываются после приема антигистаминных средств.
Насекомые часто нападают на взрослого или ребенка во сне. Они предпочитают прокусывать тонкую, нежную кожу за ушами, в области висков и затылка.
Атерома
Шишечка на голове может быть ничем иным, как атеромой. Это киста сальной железы, которая представляет собой полость с кашицеобразным секретом. Атерома — подкожно расположенное, округлое, возвышающееся образование, эластичное. При прикосновении она несколько продавливается внутрь из-за мягкой консистенции. Такая опухоль легко смещается в стороны, медленно растет. При отсутствии лечения она достигает впечатляющих размеров — до 10 см в диаметре.
При закупорке сальной железы секрет вырабатывать не перестает. Он никуда не пропадает, накапливается и постепенно растягивает стенки полости. При этом не возникает неприятных ощущений, зуда или боли, ведь сдавление уплотнением нервных окончаний исключено. Атерома самостоятельно не проходит — требуется ее хирургическое иссечение.
При попытках выдавить содержимое атеромы высока вероятность внедрения в нее патогенных микроорганизмов. Самочувствие человека усугубится головными болями, нагноением шишки, общей интоксикацией организма.
Липома
В обиходе эту доброкачественную опухоль называют жировиком. Это мягкая шишка на голове, состоящая из зрелых жировых клеток. Визуализируется липома в виде округлого или продолговатого образования, мягкого, эластичного, покрытого неизмененной кожей. Формируется жировик на лбу, в области затылка, реже — на макушке. Сначала появляется крошечная горошина, но опухоль медленно увеличивается в размерах, обычно не вызывая неприятных ощущений.
Липомы не представляют серьезной угрозы здоровью, особенно маленькие. Крупное уплотнение может сдавливать нервные корешки, провоцируя появление болей. Если лечение не проводится, человек не пытается избавиться от жировика, то нарушается питание тканей вплоть до формирования язвы и ограниченного очага некроза кожи.
Фиброма
Фиброма в волосистой части головы — это доброкачественная опухоль, состоящая из соединительных тканей. Выглядит она как небольшой коричневатый нарост, возвышающийся над кожей на 0,5-1 см. Фиброма обычно бывает единичной, но в клинической практике отмечены случаи формирования множественных уплотнений. Она имеет четкие границы, не болезненна при надавливании, локализуется на задней поверхности головы.
Как и липома, фиброма не представляет угрозы для здоровья человека. Но только при ее компактных размерах. Если опухоль образовалась несколько лет назад и при этом постоянно растет, то она сдавливает окружающие ткани, нарушая их функционирование, что проявляется соответствующей симптоматикой.
Фиброму необходимо лечить. Существует риск ее перерождения, озлокачествления. Он минимальный, но стремительно возрастает при постоянном микротравмировании поверхности фибромы.
Гемангиома
Так называется доброкачественная опухоль, которая состоит из клеток внутренней поверхности сосудов и обычно выявляется у новорожденных. Уплотнение располагается на темечке, немного сзади ушных раковин или на макушке. Гемангиомы не бывают симметричными, локализованы произвольно слева и справа от продольной оси черепа. Врачи без труда диагностируют такие специфические шишки:
- встречаются преимущественно у младенцев женского пола;
- безболезненны при касании;
- возвышаются над поверхностью кожи лишь на несколько миллиметров;
- имеют четкие очертания;
- не смещаются при надавливании.
Их формирование на самочувствие ребенка не оказывает никакого влияния. Даже при активном росте гемангиомы в первые месяцы жизни не возникает каких-либо дискомфортных ощущений. В большинстве случаев новообразования у грудничков исчезают самостоятельно. Если этого не произошло, то требуется лечение из-за риска травмирования опухоли.
Бородавки
В большинстве случаев это доброкачественное новообразование преимущественно вирусного происхождения, которое имеет вид компактного шарика. Если она выскочила на волосистой части головы, то это указывает на повышение активности папилломавирусов. Локализуются бородавки обычно за ухом, на макушке, в височной зоне. У них несколько отличительных признаков:
- плотная, жесткая структура;
- окраска кожи не изменена, но может присутствовать желтоватый или розовый оттенок;
- носят множественный характер и имеют склонность к слиянию;
- пораженные участки кожи на ощупь шероховатые, неровные.
Бородавка часто травмируется и изменяет цвет, форму и размер, может давать рубцы и шрамы, приводить к озлокачествлению. При удалении уплотнений высок риск рецидивирования.
Диагностика
Шишка на голове под кожей — сигнал для обращения к врачу для проведения диагностических мероприятий. Если она образовалась в результате удара или падения, то целесообразно записаться на прием к травматологу. В остальных случаях лучше всего обратиться к терапевту. Он обладает всеми навыками диагностики. После выявления причины образования подкожного уплотнения пациент будет направлен к врачу более узкой специализации для дальнейшего лечения.
Первичный диагноз выставляется на основании внешнего осмотра, жалоб больного, данных анамнеза. Для его подтверждения иногда требуется проведение ряда инструментальных исследований:
- рентгенографии;
- МРТ или КТ;
- ангиографии;
- ультразвукового исследования.
Общее состояние здоровья пациента оценивается по результатам общеклинических анализов крови и мочи. Если шишка болезненная, кожа вокруг нее покраснела и отекла, то врач заподозрит бактериальную или грибковую инфекцию. Назначаются лабораторные исследования для обнаружения видовой принадлежности патогенных микроорганизмов.
Методы лечения
Способы устранения мягкой или твердой шишки на голове зависят от их происхождения, тяжести симптоматики, возраста пациента. Если она не увеличивается в размерах, не мешает человеку вести привычный образ жизни, то врачи придерживаются выжидательной тактики. Только при ее внезапном росте будет проведено консервативное или хирургическое лечение.
Мази, гели, кремы, бальзамы
Сразу после ушиба головы целесообразно использовать холодовой компресс. Полиэтиленовый пакет нужно наполнить кубиками льда, а затем обернуть плотной тканью. Прикладывать компресс необходимо каждый час на 10 минут. Если шишка все-таки образовалась, то помогут наружные средства. Что делать для устранения болей, какие применять препараты:
- нестероидные противовоспалительные средства — Диклофенак, Нимесулид, Кеторол, Найз, Вольтарен. Мази и гели облегчают боль, купируют воспалительные процессы, препятствуют формированию отека;
- ангиопротекторы, венопротекторы — Троксевазин, Троксерутин, Лиотон, мазь гепариновая. Они восстанавливают целостность поврежденных капилляров, ликвидируют кровотечение.
Хорошо зарекомендовали себя в рассасывании шишек на голове проверенные временем средства — линимент бальзамический по Вишневскому, Нафтадерм, бальзамы с окопником или сабельником. Для них характерно комплексное воздействие. Компоненты выводят избыточную жидкость, чтобы она не сдавливала чувствительные нервные окончания, снижают выраженность болей.
Таблетки, капсулы, драже
Формирование бугров на голове, обширных и болезненных, нередко сигнализирует об инфицировании тканей. Подобная ситуация возникает обычно при нарушении врачебного запрета — не трогать шишку, соблюдать осторожность при мытье волос. В микротрещины проникают золотистые и эпидермальные стафилококки, условно-патогенные грибки. Запускается инфекционно-воспалительный процесс, остановить который возможно только приемом антибиотиков или антимикотиков:
- макролидов Кларитромицина или Азитромицина;
- полусинтетических пенициллинов Амоксиклава, Аугментина;
- цефалоспоринов Цефтриаксона, Цефазолина;
- антимикотических средств Флукостата, Нистатина.
При выявлении аллергической природы новообразования в лечебные схемы включаются антигистаминные препараты — Супрастин, Тавегил, Лоратадин. Постоянная головная боль может означать сдавление шишкой нервных окончаний. В качестве анальгетиков применяются Кеторол, Максиган, Спазган.
Хирургическое лечение
Оперативное удаление шишек — самый часто используемый метод лечения с массой достоинств. Пациент в течение 30-60 минут избавляется от новообразования, вызывающего и физический, и психологический дискомфорт. Полностью исключается вероятность сдавления кровеносных сосудов и нервов, образования язв и злокачественного перерождения опухоли. Хирургической терапией занимаются врачи в государственных учреждениях и частных медицинских центрах.
Как проводится операция:
- новообразование полностью иссекается скальпелем или удаляется его определенная часть;
- хирург в условленной точке делает прокол и извлекает наружу содержимое сформировавшейся полости;
- лазерное иссечение практикуется при небольших размерах опухолей, локализованных преимущественно в затылочной зоне, на макушке.
Операция проводится под местным наркозом в условиях стационара. Несколько дней состояние пациента контролируется медицинским персоналом, а затем он выписывается домой.
Народные средства
Средства народной медицины врачи разрешают использовать только для устранения твердых или мягких уплотнений, образовавшихся вследствие ушиба. Их применение возможно и на завершающем этапе терапии аллергии. Во всех остальных случаях народные средства не помогут, а только навредят. Пока человек использует мази и настои с легкими обезболивающими свойствами и не обращается к врачу, патология стремительно прогрессирует. Если опухоль злокачественная, то под угрозой находится и здоровье, и жизнь. Чем раньше диагностируется рак, тем значительно больше шансов на полное излечение.
При травмах, которые привели к синякам, отекам и шишкам хорошо помогают такие домашние мази:
- растереть по столовой ложке сока алоэ, жирной сметаны. Не переставая помешивать, добавить 150 г вазелина, 2 капли эфирного масла можжевельника;
- в ступке смешать по чайной ложке дегтя и меда. Ввести по капле эфирных масел чабреца, ели и пихты, 100 детского крема.
Народные средства для приема внутрь рекомендуется использовать при укусе насекомых. Они ускорят выведение из организма аллергенов, обезболят, снимут отеки. Для приготовления настоя чайную ложку сухого растительного сырья заливают стаканом кипятка, через 20 минут остужают и процеживают. Пьют по 1/2 стакана 2 раза в день. В качестве сырья используют шалфей, березовые листья, липовый цвет, крапиву.

Источник





